Dental Veneers in the Paramus and Hackensack, NJ area
Dental Porcelain Laminates
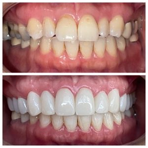
Also called Dental Veneers or Lumineers. Dental porcelain laminates are mostly used in cosmetic dentistry. They are thin shells of porcelain that are custom-made to fit your teeth by a ceramist-dentist team. The most important element of a porcelain veneer is the skill and talent of your dentist. Your dentist will bond the porcelain veneers, or dental porcelain laminates, to your teeth. Your dentist must choose the best type of porcelain and have the artistic eye to create something that can beat the beauty of natural teeth.Â
Porcelain veneers can restore the surface of your teeth by making them smooth and stain free again. Porcelain veneers, Lumineers and Dental Laminates can make crooked teeth look perfectly straight in two weeks. They can make short teeth longer, old teeth younger looking, and yellow teeth much whiter without having to bleach and re-bleach your teeth to keep them white. With porcelain veneers, you won’t need BriteSmile, Zoom, Crest Strips, or any of the chemicals that are in them. Porcelain veneers can be a better choice that lasts. Porcelain Veneers are biologically compatible and do not interact with the body.
How Do Porcelain Veneers Work?
Porcelain veneers bond directly to the front surfaces of teeth. Veneers are virtually undetectable and highly resistant to coffee, tea, and even cigarette stains. When cared for properly, porcelain veneers retain their strength and appearance for decades. Visit our Contact Page or call the office during normal business hours. We would love the opportunity to discuss this procedure with you and answer any questions you may have.
Call us Today

Are Dental Veneers the Right Choice for You?
How to Care for Your Veneers: Maintenance & Longevity Tips From AC Dental of Paramus – Your Trusted Cosmetic Dentist in Paramus, NJ Find Out

How to Care for Your Veneers: Maintenance & Longevity Tips
How to Care for Your Veneers: Maintenance & Longevity Tips From AC Dental of Paramus – Your Trusted Cosmetic Dentist in Paramus, NJ Dental veneers

Porcelain vs. Composite Veneers: Key Differences
Understanding Porcelain Veneers: Pros and Cons Porcelain veneers are a popular choice for those seeking a long-lasting and aesthetically pleasing solution to enhance their smile.
Frequently Asked Questions
What are dental veneers?
Dental veneers are thin, custom-made shells designed to cover the front surface of your teeth to improve their appearance. At AC Dental of Paramus, we offer porcelain and composite veneers that correct issues like discoloration, gaps, uneven teeth, or minor chips. Veneers create a natural, flawless smile that enhances both confidence and dental aesthetics.
What are the benefits of veneers?
Dental veneers offer multiple benefits, including:
- A whiter, brighter smile without repeated whitening treatments
- Correction of chipped, crooked, or uneven teeth
- Instant improvement in confidence and self-esteem
Long-lasting, stain-resistant material
At AC Dental of Paramus, veneers are custom-crafted to blend seamlessly with your natural teeth for a perfect, radiant smile.
Who is a candidate for veneers?
You may be a great candidate for veneers if you have:
Discolored or stained teeth that don’t respond to whitening
Small gaps or minor misalignments
Chipped, worn, or uneven teeth
Our Paramus cosmetic dentist will perform a smile evaluation to ensure veneers are the best option for your goals and dental health.
Why Choose AC Dental of Paramus for Veneers?
Our cosmetic dentistry team specializes in smile design and veneer artistry, combining advanced dental technology with a personalized approach. Whether you’re looking for a subtle enhancement or a full smile makeover, we’re here to deliver natural-looking, durable veneers that transform your confidence.
How long do veneers last?
With proper care, porcelain veneers typically last 10–15 years or more. High-quality veneers placed by our Paramus cosmetic dentist can even last longer with good oral hygiene and regular dental visits. Avoiding habits like nail-biting or using teeth as tools helps extend their lifespan.
Are dental veneers painful?
Getting veneers is a comfortable and minimally invasive process. At AC Dental of Paramus, we use gentle local anesthesia when preparing the teeth, ensuring you feel little to no discomfort. Most patients report that the experience feels similar to getting a routine filling — smooth and stress-free.
How much do veneers cost?
The cost of veneers depends on factors like material type, number of teeth treated, and overall customization. On average, veneers at AC Dental of Paramus range between $1,000–$2,500 per tooth. During your consultation, we’ll provide a personalized quote and discuss affordable payment and financing options.
Aftercare process for veneers ?
Caring for veneers is simple. Brush and floss daily, just as you would with natural teeth. We recommend using a non-abrasive toothpaste and scheduling bi-annual cleanings at AC Dental of Paramus. Avoid biting hard foods directly with veneers, and wear a night guard if you grind your teeth to prevent wear or damage.